Asociación Española de Neurogastroenterología y Motilidad
Facebook Twitter YouTube Instagram

Acalasia esofágica: del trastorno motor a la gran dilatación radiológica

Autor(es)

Orlando Morera Alvarez1, Oriol Llargues Pou2, Pere Borràs Garriga1, Ingrid Fajardo1, Carme Loras1,3, Yamile Zabana1,3

1Servicio de Aparato Digestivo, Hospital Universitari Mútua Terrassa, 2Unidad de Diagnóstico Rápido, Hospital Universitari Mútua Terrassa, 3Centro de Investigación Biomédica en Red en Enfermedades Hepáticas y Digestivas (CIBERehd).

Introducción

La acalasia se produce como consecuencia de la desaparición de las neuronas del plexo mientérico, responsables de coordinar la peristalsis esofágica y la relajación del esfínter esofágico inferior (EEI). Históricamente, Thomas Willis documentó unos de los primeros casos de tratamiento en un paciente con imposibilidad para deglutir en 1679, aunque el término “acalasia” fue introducido por primera vez en la literatura médica en 1915 por Hertz.1,2

La etiología de esta pérdida neuronal sigue siendo desconocida; sin embargo, diversos estudios sugieren que podría estar relacionada con mecanismos de origen autoinmune, infeccioso o funcional. Dado que los síntomas no son específicos, puede haber un largo intervalo entre el inicio de la sintomatología y el diagnóstico definitivo. El diagnóstico en fases avanzadas de la enfermedad puede comportar el desarrollo de un megaesófago, lo que complica el tratamiento y empeora el pronóstico.1,2,3,4

Este caso tiene como objetivo ilustrar la correlación entre los hallazgos radiológicos clásicos y la fisiopatología motora en un paciente con megaesófago sigmoide, destacando la relevancia y utilidad de los estudios de imagen convencionales en el algoritmo diagnóstico de la acalasia.

Presentación del caso

Se presenta el caso de un paciente varón de 53 años, de raza negra, natural de Colombia y residente en España, sin hábitos tóxicos ni antecedentes patológicos personales de interés, que acude a Urgencias por disfagia. Clínica de disfagia progresiva mixta, a sólidos y líquidos, de 10 meses de evolución asociada a dolor retroesternal, náuseas y vómitos postprandiales destacando una pérdida ponderal de 10 kg en los últimos meses.

A la exploración física se objetiva ligera palidez mucosa sin otros hallazgos a destacar. En la analítica destaca leve anemia microcítica ferropénica con elevación leve de reactantes de fase aguda (PCR y VSG), así como una ligera hipoproteinemia.

Se realizan otras pruebas complementarias como:

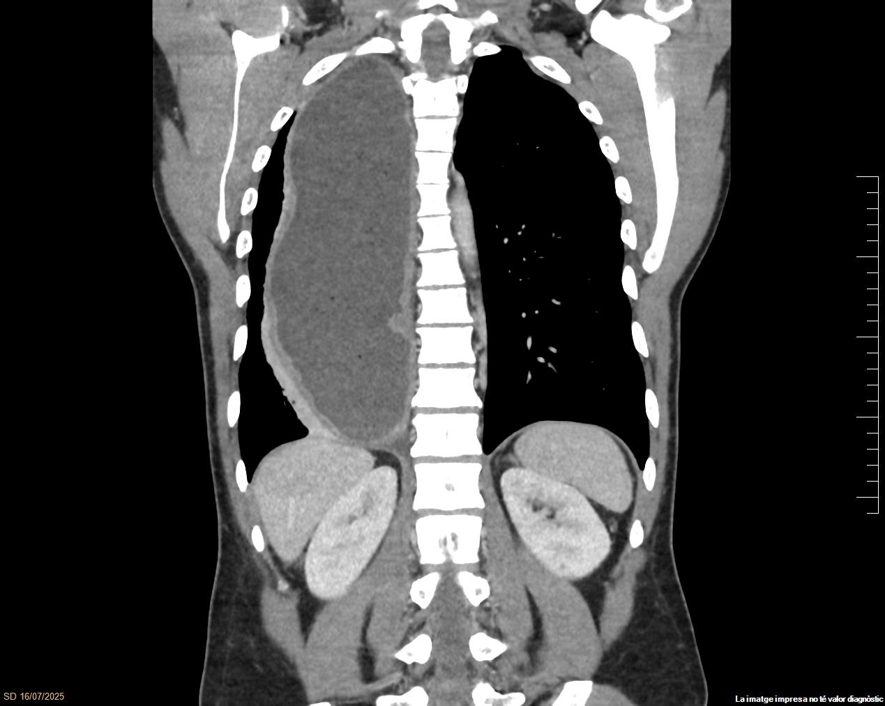
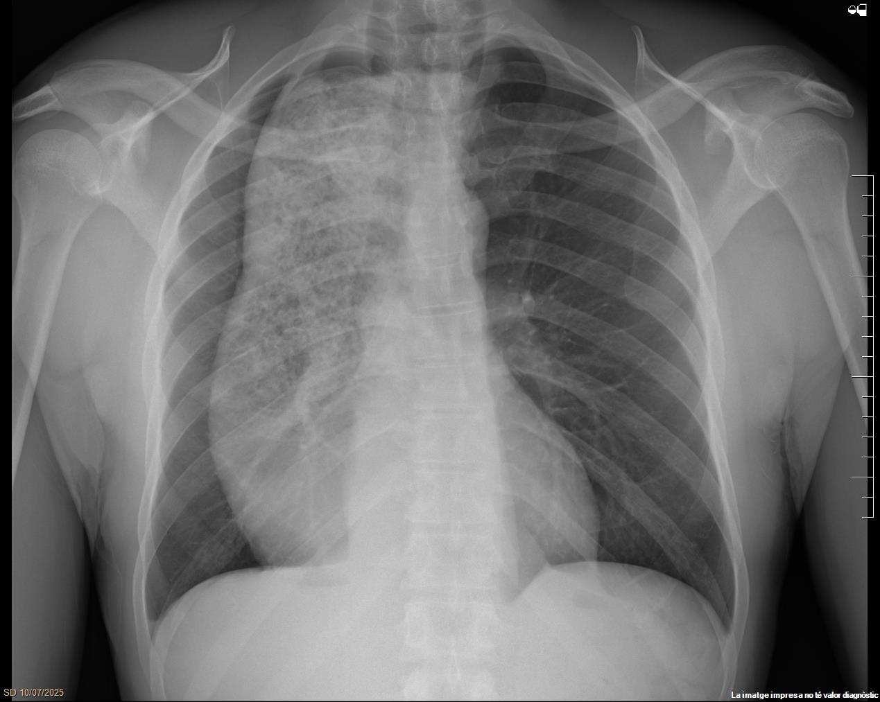
Radiografía simple de tórax (Fig. 1) que informa de gran dilatación de todo el esófago con retención de contenido alimentario, sugiriéndose la realización de un estudio de motilidad esofágica previo a descartar posible proceso neoformativo distal. Por este motivo y junto a la presencia de síndrome tóxico se solicita TC torácico con contraste (Fig. 2) que describe una importante dilatación esofágica difusa, con importante contenido de retención, adelgazamiento en punta de lápiz de la unión esofagogástrica en plano coronal, y sin claras masas ni tumoraciones, hallazgos compatibles con la posibilidad de una acalasia. También se visualiza una atelectasia laminar de aspecto reactivo a nivel del lóbulo inferior derecho, en relación con la impronta mediastínica secundaria a la dilatación esofágica descrita.

Además, dada la procedencia del paciente y los hallazgos encontrados, se solicita estudio de enfermedad de Chagas con antígenos recombinantes y serología IgE-ELISA que resultan negativos. También, se solicita ecocardiograma que descarta la presencia de dilatación ventricular.

Por todo ello, se realiza una endoscopia digestiva alta que informa de un esófago dilatado y sigmoide con abundantes restos de saliva. Unión esofagogástrica situada a 50 cm de la arcada dentaria con resistencia al paso del endoscopio que se vence con pulsión suave, sugestivo de trastorno motor esofágico tipo acalasia. Posteriormente, se solicita una manometría esofágica de alta resolución, mostrando una presión normal del EII, pero con un IRP (Intregrated Relaxation Pressure) en el límite superior de la normalidad e imagen manométrica sugestiva de dificultad en la relajación. El cuerpo esofágico muestra una motilidad esofágica ausente, con un 100% de ondas fallidas, sin reserva peristáltica y mínima presurización en las degluciones multirrápidas. Sin embargo, la presencia de un megaesófago con ambos esfínteres en los límites de los sensores de la sonda de manometría podría alterar el resultado del análisis del EEI por movimientos respiratorios durante las degluciones, lo que justificaría el valor de IRP limite. Finalmente, integrando la información de todas las pruebas complementarias, el diagnóstico final fue de acalasia tipo 1.

Tras evaluación por un comité multidisciplinario, se decidió realizar un tratamiento endoscópico mediante una Miotomía Endoscópica Peroral (POEM). El procedimiento se realizó durante el mismo ingreso y sin complicaciones, logrando una resolución completa de la sintomatología durante el seguimiento.

Conclusiones

El estudio radiológico convencional puede ser de utilidad en algunos casos de acalasia en los que la endoscopia y la manometría esofágica de alta resolución no resultan concluyentes. En situaciones de megaesófago, la técnica POEM se presenta como una alternativa terapéutica segura y eficaz, incluso frente a la complejidad anatómica del esófago sigmoide.

Bibliografía

  1. Provenza CG, Robert J. Achalasia. Diagnosis and Management. Surg Clin N Am. 2025; 105(1): 143-158. https://doi.org/10.1016/j.suc.2024.06.011
  2. Boeckxstaens G; Zaninotto G; Richter J. Achalasia. Lancet. 2014; 383: 83-93. http://dx.doi.org/10.1016/S0140-6736(13)60651-0
  3. Wolman D; Gayer G. Achalasia with Tortuous Megaesophagus. Seminars in ultrasound CT and MRI. 2019. https://doi.org/10.1053/j.sult.2019.03.005
  4. Rondón J, Ardila C, Hani A, Vargas R, Cañadas AR, Puentes G. Megaesófago como complicación de acalàsia: reporte de caso y revisión narrativa de la literatura. Rev Colomb Gastroenterol. 2020; 35(4): 551-557. DOI: https://doi.org/10.22516/25007440.460

img_1.jpg

img_2.jpg


Más imágenes del mes

Anorrecto Colon Esófago Estómago Intestino delgado Orofaringe
 
Suscríbete a la Newsletter
Update cookies preferences