Asociación Española de Neurogastroenterología y Motilidad
Facebook Twitter YouTube Instagram

Acalasia del cricofaríngeo asociada a dilatación faríngea secundaria: presentación inusual de disfagia de larga evolución.

Autor(es)

Ana Catarina Bravo, Elena Resina Sierra, Sergio Casabona Francés, María Teresa Pérez Fernández, Pablo Miranda García, Eukene Rojo, Cecilio Santander.

Unidad de motilidad digestiva y pruebas funcionales. Servicio de Aparato Digestivo. Hospital Universitario de La Princesa.


Mujer de 66 años con antecedentes de síndrome de Sjögren sin afectación visceral, osteoporosis y linfoma no Hodgkin de bajo grado sin afectación mediastínica, tratado con rituximab en 2022, actualmente en remisión completa. 

Derivada a Gastroenterología por disfagia orofaríngea de 10 años de evolución, inicialmente para sólidos, pero con empeoramiento progresivo hasta hacerse para sólidos y líquidos, requiriendo dieta blanda o triturada. Asociaba pérdida ponderal del 10% del peso corporal, y no refería pirosis, regurgitación ni otros síntomas acompañantes. 

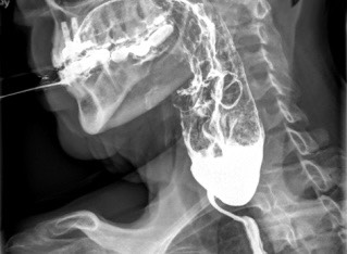
Fue valorada por ORL, que descartó lesiones estructurales relevantes, aunque observó retención de saliva en senos piriformes. La endoscopia digestiva alta reveló estenosis esofágica a nivel cricofaríngeo, con dificultad para el paso del endoscopio y desgarro mucoso incidental, con biopsias esofágicas sin alteraciones. Se realizó un TAC que descartaba compresión extrínseca. El estudio esófago-gastroduodenal (EGD) con videofluoroscopia mostró una gran dilatación faríngea con restos alimentarios retenidos en senos piriformes secundaria a estenosis de contornos regulares en la transición faringo-esofágica de 2,6 cm (Figura 1). 

La manometría faríngea y esofágica de alta resolución con impedanciometría, dificultada por la persistente bucleación faríngea, requirió la introducción asistida del catéter bajo control endoscópico y se realizó siguiendo el protocolo del Consenso de Leuven (1). El estudio evidenció una alteración de la relajación del esfínter esofágico superior (EES) (IRP: 6 mmHg; valor normal < 2,9 mmHg), con un tiempo de relajación del EES de 120 ms (normal  500 ms), ausencia de contracción meso e hipofaríngea (PhCI: 58 mmHg·s·cm; normal > 300 mmHg·s·cm; VCI: 56 mmHg·s·cm; MCI: 0 mmHg·s·cm; HCI: 0 mmHg·s·cm) y retención de bolo faríngeo en más del 50% de las degluciones, medida por impedanciometría estacionaria (Figura 2). Estos hallazgos fueron diagnósticos de disfunción del EES con hipocontractilidad faríngea (2,3)

El caso fue discutido en un comité multidisciplinar y ante los hallazgos de alteración de la relajación del EES, con ausencia de contracción meso e hipofaríngea se estableció el diagnóstico probable de acalasia del cricofaríngeo. Considerando la repercusión clínica, con desnutrición asociada e impacto funcional, se planteó a la paciente la realización de C-POEM (Miotomía Endoscópica Per Oral del Cricofaríngeo) (4), técnica que se realizó sin incidencias y con mejoría significativa de la disfagia y la práctica resolución de los síntomas (Figura 3).

La acalasia del cricofaríngeo o “barra faríngea” es un trastorno motor infrecuente del EES, caracterizado por la relajación incompleta del músculo cricofaríngeo, lo que ocasiona disfagia orofaríngea, regurgitación y riesgo de aspiración. El diagnóstico se fundamenta en la videofluoroscopia y se complementa con la manometría esofágica de alta resolución, que permite objetivar la falta de relajación del esfínter y la motilidad orofaríngea. El tratamiento incluye opciones como la dilatación, la inyección de toxina botulínica o el C-POEM, con resultados variables según la fisiopatología y el perfil del paciente (5). La evidencia reciente subraya la necesidad de estandarizar los criterios diagnósticos y optimizar la selección terapéutica individualizada.

Figura 1. - Videofluoroscopia evidenciando una gran dilatación faríngea con restos alimentarios retenidos en senos piriformes y estenosis de contornos regulares en la transición faringo-esofágica de 2,6 cm sugerente de impronta del músculo cricofaríngeo.

Figuras 2, 3, 4 y 5. - Manometría faríngea de alta resolución con impedanciometría evidenciando ausencia de la relajación del esfínter esofágico superior (IRP 6 mmHg (normal<2.9 mmHg), acortamiento del tiempo de relajación del EES 120 mseg (normal 500 mseg), ausencia de contracción meso e hipofaríngea MCI 0 mmHg.s.cm, HCI 0 mmHg.s.cm) y retención de bolo faríngeo. 

Figura 6. A: Visión endoscópica de la impronta del músculo cricofaríngeo con imposibilidad para el paso del endoscopio convencional. B: Visualización de la muscularis propia esofágica disecada al fin de la miotomía. C: Defecto mucoso tras miotomía. Disección submucosa llevada a cabo utilizando un DualKnife 2.0. D:  Cierre de la puerta de entrada con 5 hemoclips.

Bibliografía

  1. Omari TI, Maclean JCF, Cock C, et al. Defining Pharyngeal and Upper Esophageal Sphincter Disorders on High-Resolution Manometry-Impedance: The Leuven Consensus. Neurogastroenterol Motil. Published online April 9, 2025. doi:10.1111/nmo.70042
  2.  Omari T, Cock C, Wu P, et al. Using high resolution manometry impedance to diagnose upper esophageal sphincter and pharyngeal motor disorders. Neurogastroenterol Motil. 2023;35(1):e14461. doi:10.1111/nmo.14461
  3. Walters RK, Gudipudi R, Gordis T, Davidson K, Nguyen SA, O'Rourke AK. A Systematic Review of Pharyngeal High-Resolution Manometry Normative Data. Am J Speech Lang Pathol. 2024;33(2):1059-1068. doi:10.1044/2023_AJSLP-23-00221
  4. Norton B, Papaefthymiou A, Telese A, Aslam N, Murray C, Haidry R. Peroral endoscopic myotomy for the management of symptomatic cricopharyngeal bar (C-POEM): a case series and video demonstration. Ann Gastroenterol. 2024 Mar 20;37(2):251–4.
  5. Albeniz E, Estremera-Arevalo F. Cricopharyngeal achalasia and upper oesophageal endoscopic myotomy (CP-POEM). Best Pract Res Clin Gastroenterol. 2024;71:101937. doi:10.1016/j.bpg.2024.101937


01-11-figura1.jpg

01-11-figura2.jpg

01-11-figura3.jpg

01-11-figura4.jpg

01-11-figura5.jpg

01-11-figura6.jpg


Más imágenes del mes

Anorrecto Colon Esófago Estómago Intestino delgado Orofaringe
 
Suscríbete a la Newsletter
Update cookies preferences